Understanding Pseudometastatic Carcinoma & 5SC

N.Vehikl 76 views
Understanding Pseudometastatic Carcinoma & 5SC

Understanding Pseudometastatic Carcinoma & 5SC

Hey guys! Let’s dive into some medical stuff, specifically focusing on pseudometastatic carcinoma and a related concept, 5SC. I know, it sounds super complicated, but trust me, we’ll break it down so it’s understandable. We’ll be using plain language, making it easy to digest. Think of this as a friendly chat about some important medical terms. Buckle up, and let’s get started!

What Exactly is Pseudometastatic Carcinoma?

So, pseudometastatic carcinoma – what does that even mean? Well, let’s break it down word by word. “Pseudo” means false or fake . “Metastatic” refers to the spread of cancer cells from the primary site to other parts of the body. And “carcinoma” is a type of cancer that begins in the cells that make up the skin or the tissue lining internal organs. Therefore, pseudometastatic carcinoma is essentially a false appearance of cancer spread . In other words, it looks like the cancer has metastasized (spread), but it actually hasn’t. This can be super tricky for doctors because they might think the cancer is more advanced than it actually is, leading to different treatment approaches.

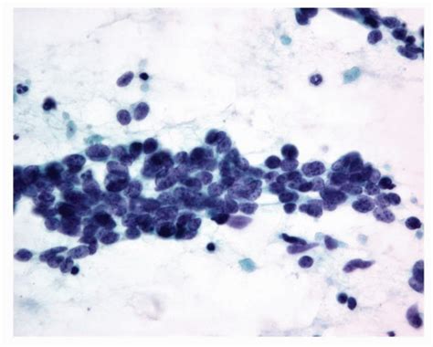
This phenomenon often pops up in the context of skin cancers, particularly squamous cell carcinoma (SCC). Imagine the cancer cells, instead of truly breaking away and traveling through the bloodstream or lymph nodes to new locations, are behaving in a way that mimics this spread. They might invade surrounding tissues aggressively, creating a local, but extensive, appearance. This can be due to several factors, like the specific type of cancer cells, the way the immune system is responding, and even the surrounding tissue structure. It’s like a clever impersonator – the cancer cells trick the body into thinking they’ve traveled far when they really haven’t. This misdiagnosis can influence treatment plans. Doctors would be more aggressive with a cancer that has truly spread versus a cancer that only appears to have spread, because this false impression would lead to different stages. Treatments like surgery, radiation, and chemotherapy may be chosen based on the incorrect staging of the cancer, so correct diagnosis of the patient is critical. The term “pseudometastatic” highlights the importance of distinguishing between actual cancer spread and the mere appearance of it. Diagnostic tools like imaging techniques (CT scans, MRI) and biopsies are crucial to unravel the truth and provide the best care. The goal here is accurate staging to provide the best possible treatment.

Now, let’s look at why this is such a big deal. Why is it important to know that a cancer might look like it’s spread, but actually hasn’t? Well, the main reason is treatment. If a doctor thinks the cancer has spread (metastasized), they might prescribe stronger treatments, like chemotherapy or more extensive surgery, to try to eradicate the cancer throughout the body. However, if it’s pseudometastatic, then those aggressive treatments might not be necessary, which can save the patient from unnecessary side effects and improve their quality of life. This is why getting an accurate diagnosis is absolutely critical. Imagine a patient who doesn’t need to undergo heavy chemotherapy, but gets it anyway because of a misdiagnosis. That can lead to a lot of suffering. Early detection and comprehensive diagnostic procedures are key. Detailed microscopic analysis of the tissue sample, along with imaging, can help determine whether the cancer cells have spread or are simply exhibiting aggressive local behavior. Remember, guys, the more we understand these nuances, the better we can advocate for our health and make informed decisions.

Diving into SCC (Squamous Cell Carcinoma)

Alright, so we’ve touched on pseudometastatic carcinoma , and now it’s time to talk about one of the most common cancers where this phenomenon occurs: Squamous Cell Carcinoma, or SCC. This is a type of skin cancer that develops in the squamous cells, which are flat, thin cells that form the outer layer of the skin. It’s often linked to sun exposure, making fair-skinned people more susceptible. SCC can appear as a scaly, red patch, a firm, red nodule, or a sore that doesn’t heal. It’s crucial to be vigilant about changes on your skin. If you notice anything unusual, get it checked out by a doctor. Early detection is really important for successful treatment.

Squamous cell carcinoma can be a sneaky one, sometimes looking like other skin conditions, such as eczema or psoriasis. This is why biopsies are super important. Doctors take a small sample of the suspicious area and send it to a lab, where a pathologist examines the cells under a microscope. This is the only way to confirm whether it’s SCC and to what extent it has progressed. When SCC presents with pseudometastatic characteristics, the pathology report becomes even more crucial. The pathologist needs to carefully examine the sample to distinguish between local invasion (aggressive growth in the surrounding tissue) and actual spread of the cancer cells to other parts of the body. Treatment options for SCC vary depending on the stage of the cancer. They might include surgery to remove the tumor, radiation therapy to kill cancer cells, or topical creams for early-stage SCC. The good news is that most SCCs are curable, especially when detected early. Regularly checking your skin for any changes, especially if you have risk factors, is a good habit. Using sunscreen, seeking shade, and wearing protective clothing are excellent ways to reduce your risk. Understanding SCC and its behaviors, including its potential for pseudometastatic presentations, is essential for both prevention and proper medical care.

Remember, SCC is treatable, and early detection leads to better outcomes. So don’t hesitate to consult a dermatologist if you have any concerns about your skin.

The Role of 5SC and How it Fits in

Okay, now let’s introduce 5SC . But first, let’s understand how it relates to the information discussed above. 5SC, or more specifically, the context we’re referring to here could be related to 5-fluorouracil. It is a chemotherapeutic medication used to treat certain types of skin cancer, including some cases of SCC. It works by interfering with the DNA of cancer cells, preventing them from growing and spreading. In some cases, 5-fluorouracil, or something similar, may be used as a topical treatment for SCC, especially early-stage or superficial SCC. It can be applied directly to the skin to kill the cancerous cells. In the case of pseudometastatic carcinoma, 5-fluorouracil might be used to target the local, aggressive growth, since it’s not a truly metastatic spread. The treatment plan varies depending on the specific situation, the severity of the cancer, and the patient’s overall health.

5-fluorouracil is typically used to treat various skin conditions, including actinic keratoses (pre-cancerous lesions) and some superficial basal cell carcinomas. Its use in the context of pseudometastatic carcinoma would depend on the specific presentation of the cancer, and whether the doctors believe the spread is limited to a local area. The use of 5-fluorouracil is often coupled with close monitoring and regular follow-ups. After treatment, patients will have checkups and skin exams to watch for any signs of recurrence. In some cases, other treatments, such as surgery or radiation, might be necessary. It’s important to remember that medical treatments are always individualized based on the needs of the patient. The doctor would consider things like the size of the tumor, its location, the overall health of the person, and any personal preferences to make the best treatment plan.

The use of 5-fluorouracil highlights the importance of early detection and prompt treatment. By catching skin cancers early, we can often use less invasive methods like topical medications to effectively manage the condition. So, if you notice any suspicious changes on your skin, see a dermatologist, even if you are not sure if it could be serious. Regular skin exams and proper sun protection are vital in preventing and treating skin cancer. Now you’ve learned a bit about SCC and how 5SC fits into it.

Key Takeaways and Things to Remember

Alright, guys, let’s wrap this up with a quick recap. We’ve talked about pseudometastatic carcinoma , which is when cancer looks like it’s spread, but actually hasn’t. This can be tricky, but understanding this is super important for getting the right treatment. We then discussed Squamous Cell Carcinoma (SCC) , a common skin cancer where pseudometastatic appearances can occur. We also touched on 5SC or 5-fluorouracil, a topical medication that might be used to treat certain SCCs. Remember that early detection and accurate diagnosis are key to successful treatment. Regular skin checks, sun protection, and consulting with a dermatologist about any concerns are crucial for maintaining good health. Stay informed and proactive about your health – you’ve got this!