Inflammatory Breast Cancer Ultrasound: A Deep Dive

N.Vehikl 105 views
Inflammatory Breast Cancer Ultrasound: A Deep Dive

Inflammatory Breast Cancer Ultrasound: A Deep Dive

Hey everyone! Today, we’re going to dive deep into something super important: inflammatory breast cancer ultrasound . This can be a really scary topic, guys, but understanding it is the first step to feeling more in control. We’ll break down what it is, why it’s used, and what you can expect. So, grab a cuppa, get comfy, and let’s get into it!

Understanding Inflammatory Breast Cancer (IBC)

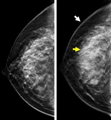
First off, let’s get a handle on inflammatory breast cancer ultrasound . What exactly is inflammatory breast cancer (IBC)? It’s a rare but very aggressive form of breast cancer. Unlike other types of breast cancer that often start as a lump, IBC develops rapidly, affecting the skin and lymph vessels in the breast. The skin might look red, feel warm, and often appears thickened, sometimes with a texture like an orange peel – doctors call this peau d’orange . It doesn’t always present as a distinct lump, which is why it can be tricky to diagnose with just a mammogram. This is where imaging techniques like ultrasound become incredibly valuable. When we talk about ultrasound for inflammatory breast cancer , we’re discussing a key tool that helps doctors visualize the changes happening within and around the breast tissue, even when a lump isn’t obvious. It’s crucial to catch IBC early because it can spread quickly. The symptoms can sometimes mimic other, less serious conditions like mastitis (a breast infection), which is why a thorough diagnostic process involving imaging is so vital. The speed and aggressive nature of IBC mean that delays in diagnosis can have significant consequences. So, when a doctor suspects IBC based on physical examination, they’ll often order further tests, and an ultrasound is usually one of the first in line. It allows them to see the internal structure of the breast, assess the skin thickness, and look for any signs of fluid buildup or abnormal blood flow, all of which are characteristic of IBC. The information gathered from an ultrasound can guide the next steps in diagnosis and treatment planning, ensuring that patients receive the care they need as quickly as possible. The importance of recognizing these subtle yet significant changes cannot be overstated when dealing with a condition as serious as IBC.

Why Ultrasound is Crucial for IBC Diagnosis

So, why is ultrasound for inflammatory breast cancer such a big deal? Well, traditional mammograms, while excellent for detecting many types of breast cancer, can sometimes miss IBC. This is because IBC often causes diffuse changes throughout the breast, like skin thickening and increased fluid in the breast tissue, rather than a distinct mass. Ultrasound, on the other hand, is fantastic at visualizing these subtle changes. It uses sound waves to create detailed images of the breast’s internal structures. For IBC, an ultrasound can help doctors see:

  • Skin Thickening: A hallmark of IBC is thickened skin, and ultrasound is great at measuring and visualizing this.
  • Edema (Fluid Buildup): Ultrasound can detect increased fluid in the breast tissue, another common sign of IBC.
  • Lymph Node Involvement: It can also help assess the nearby lymph nodes, which can become enlarged if the cancer has spread.
  • Vascularity: Advanced ultrasound techniques can even look at blood flow within the breast, and IBC often shows increased vascularity.

Think of it this way: a mammogram is like a general overview, while an ultrasound is like a high-resolution zoom lens that can pick up finer details. This makes it an indispensable tool, especially when a patient presents with symptoms suggestive of IBC. Doctors might order an ultrasound even if a mammogram appears normal, simply because the clinical signs are concerning. The ability of ultrasound to differentiate between solid masses, cysts, and areas of inflammation is also a significant advantage. For IBC, the inflammation and blockage of lymphatics are key features that ultrasound can highlight better than other methods. This detailed imaging allows for a more accurate assessment of the extent of the disease and helps in distinguishing IBC from other conditions that might cause similar-looking symptoms, like benign infections. Ultimately, the goal is to get the most accurate diagnosis as quickly as possible, and ultrasound plays a starring role in achieving that for patients suspected of having inflammatory breast cancer.

What to Expect During an IBC Ultrasound

Alright, let’s talk about what you can actually expect if you need an ultrasound for inflammatory breast cancer . First off, try not to stress too much! The procedure itself is pretty straightforward and painless. You’ll likely be asked to change into a gown. Then, you’ll lie down on an examination table, usually on your back with one arm raised. The technician, often called a sonographer, will apply a warm, water-based gel to your breast. This gel is essential because it helps the sound waves travel smoothly between the ultrasound transducer (the wand-like device) and your skin. Don’t worry, it’s not sticky or uncomfortable! The sonographer will then gently press the transducer against your skin and move it around your breast and underarm area, capturing images. They’ll be looking for specific signs related to IBC, such as skin thickening, fluid accumulation, and any abnormalities within the breast tissue. You might be asked to hold your breath or change positions slightly to get the best views. The whole process usually takes about 20 to 30 minutes. It’s a good time to ask any questions you might have – the sonographer is there to help make you comfortable and explain what they’re doing. After the scan, the gel is wiped off, and you can get dressed. The images are then reviewed by a radiologist, a doctor specializing in interpreting medical images. They will then send a report to your referring physician, who will discuss the results with you. Remember, the ultrasound is just one piece of the diagnostic puzzle. Your doctor will consider these findings along with your medical history, physical exam, and possibly other tests, like a biopsy, to make a final diagnosis. So, while the appointment might feel a bit nerve-wracking, remember it’s a crucial step towards getting answers and the right care. Being prepared for what to expect can make the experience much smoother and less anxiety-inducing.

Interpreting the Ultrasound Results

Now, let’s get into the nitty-gritty of interpreting inflammatory breast cancer ultrasound results. This is where the radiologist, that specialized doc we just talked about, really earns their stripes. They’re looking for specific patterns and characteristics that are indicative of IBC. As we’ve mentioned, ultrasound for inflammatory breast cancer is key because IBC often presents with diffuse changes rather than a discrete lump. So, what exactly are they scrutinizing on those images?

  • Diffuse Parenchymal Enhancement: This refers to increased brightness or signal in the breast tissue on the ultrasound, suggesting inflammation and increased blood flow, which is common in IBC. The radiologist will assess the pattern and extent of this enhancement.
  • Skin and Subcutaneous Tissue Thickening: The normal skin thickness is usually just a couple of millimeters. In IBC, this can significantly increase, often exceeding 2-3 mm, and appear irregular. Ultrasound is excellent at precisely measuring this thickness and noting any architectural distortion.
  • Increased Nipple Retraction or Thickening: While not always present, changes in the nipple can also be a sign, and ultrasound can visualize this.
  • Edema (Fluid Accumulation): Ultrasound can identify collections of fluid within the breast tissue or in the space between the skin and the breast tissue. This edema is a direct result of the inflammation and blocked lymphatic drainage characteristic of IBC.
  • Axillary Lymph Node Assessment: The radiologist will also carefully examine the lymph nodes in the armpit (axilla). In IBC, these nodes can become enlarged and may show abnormal features, suggesting that the cancer might have spread. Ultrasound can guide a biopsy of suspicious lymph nodes if needed.

It’s important to remember that ultrasound findings are often considered alongside other imaging results, like mammography and MRI, as well as the clinical presentation. Sometimes, even with clear ultrasound signs, a biopsy is still needed to confirm the diagnosis definitively. A biopsy involves taking a small sample of tissue to be examined under a microscope by a pathologist. This is the gold standard for diagnosing cancer. The radiologist’s report will detail all these findings, providing crucial information for your oncologist to formulate the best treatment plan. They might use terms like “suspicious for malignancy” or describe specific features that point towards IBC. If the ultrasound shows changes highly suggestive of IBC, your doctor will likely move quickly to the next steps, which may include further imaging and a biopsy. The detailed information provided by a thorough ultrasound examination is absolutely vital in the fight against this aggressive disease.

Ultrasound vs. Other Imaging Modalities for IBC

When it comes to diagnosing inflammatory breast cancer ultrasound is a star player, but it’s not the only game in town, guys. Let’s quickly compare it to other common imaging techniques to see why it’s so important, especially for IBC.

  • Mammography: This is your standard breast screening tool. It uses X-rays to create images. Mammograms are great at detecting calcifications and distinct masses, which are common in other types of breast cancer. However, with IBC, which often lacks a distinct lump and causes diffuse skin thickening and inflammation, a mammogram might appear normal or show subtle changes that aren’t definitive. So, while it’s often done, it might not be the most sensitive tool for IBC itself.
  • MRI (Magnetic Resonance Imaging): MRI uses magnets and radio waves to create highly detailed images. It’s very sensitive and can be excellent for staging IBC, meaning it helps doctors understand how far the cancer has spread within the breast and to nearby areas. MRI can show inflammation and enhancement very clearly. However, it’s more expensive, less widely available than ultrasound, and some people find the enclosed space of the MRI machine claustrophobic. It’s often used after IBC is suspected or diagnosed to get a complete picture.
  • Ultrasound: As we’ve been stressing, ultrasound for inflammatory breast cancer excels because it’s readily available, relatively inexpensive, and doesn’t use radiation. Its real strength lies in its ability to visualize soft tissues, fluid, and inflammation in real-time. It can clearly show the skin thickening, edema, and changes in blood flow associated with IBC. It’s also fantastic for guiding biopsies of suspicious areas, whether in the breast or the lymph nodes. Because it can detect these diffuse changes and inflammation so well, it’s often the go-to imaging test when IBC is suspected based on clinical symptoms, sometimes even before or alongside a mammogram.

So, while mammograms are crucial for general screening, and MRIs are powerful for detailed staging, ultrasound often takes the lead when it comes to the initial suspicion and detailed assessment of IBC due to its ability to visualize the specific inflammatory changes characteristic of this aggressive cancer. It provides a complementary, and sometimes superior, view for this particular condition. Think of them as a team, each with their own strengths, working together to get you the best possible diagnosis and care. The accessibility and real-time imaging capabilities of ultrasound make it an invaluable tool in the prompt identification of IBC.

The Role of Biopsy After Ultrasound

So, you’ve had your ultrasound for inflammatory breast cancer , and the radiologist has seen some concerning signs. What’s next? Usually, it’s a biopsy, guys. While ultrasound is incredibly helpful in suggesting IBC, it can’t definitively diagnose it on its own. A biopsy is the gold standard – the definitive way to confirm cancer. The ultrasound plays a crucial role here by guiding the biopsy procedure.

Here’s how it works: The radiologist uses the ultrasound machine in real-time to pinpoint the exact area of concern – maybe it’s the thickened skin, the inflamed tissue, or a suspicious lymph node. They’ll then numb the area with a local anesthetic (it feels like a little pinch and sting) and use a special needle to collect a small sample of cells. There are a couple of types of biopsies often done under ultrasound guidance:

  • Fine-Needle Aspiration (FNA): This uses a very thin needle to draw out fluid and cells. It’s quick and less invasive.
  • Core Needle Biopsy (CNB): This uses a slightly larger, hollow needle to remove small cylinders (cores) of tissue. This provides more tissue for the pathologist to examine and is often preferred for suspicious solid areas.

The procedure itself is usually quite fast, often taking less than an hour, including the time for numbing. You might feel some pressure, but it shouldn’t be significantly painful. After the biopsy, a small bandage will be applied. The collected tissue samples are sent to a pathology lab, where a pathologist will examine them under a microscope to determine if cancer cells are present, and if so, what type of cancer it is. This information is absolutely critical. The radiologist’s findings from the ultrasound guide the surgeon and pathologist to the most suspicious areas, increasing the accuracy of the biopsy. Without the precise guidance an ultrasound offers, it would be much harder to target the right spot, potentially leading to missed diagnoses or inadequate sampling. So, while the ultrasound is the detective work, the biopsy is the conclusive evidence. It’s a vital step in confirming IBC and planning the most effective treatment strategy. Always remember to discuss any post-procedure care or concerns with your healthcare provider.

Conclusion: Ultrasound’s Vital Role in Early Detection

To wrap things up, guys, we’ve seen how ultrasound for inflammatory breast cancer is an absolutely critical tool in the diagnostic process. When IBC strikes, its aggressive nature demands swift and accurate identification, and ultrasound is often the unsung hero in this fight. Its ability to visualize diffuse changes like skin thickening and edema, which can be missed by mammograms, makes it invaluable, especially when clinical symptoms are suggestive of this rare but serious condition. We talked about how the procedure is generally comfortable and straightforward, and how the detailed images generated allow radiologists to spot the subtle signs that might otherwise go unnoticed. While ultrasound is powerful, it often works in tandem with other methods, like mammography and crucially, biopsy, to provide a definitive diagnosis. The ultrasound’s guidance is paramount for ensuring that biopsies are targeted accurately, increasing the chances of confirming the diagnosis efficiently. Early detection is truly the name of the game with IBC, and the accessibility, sensitivity, and real-time imaging capabilities of ultrasound make it a cornerstone of this early detection effort. If you ever have concerns about changes in your breast, don’t hesitate to speak to your doctor. Getting informed and advocating for yourself is so important. Understanding the role of tools like ultrasound in inflammatory breast cancer diagnosis empowers you to have more informed conversations with your healthcare team. Stay informed, stay vigilant, and take care of yourselves!