Anti-Dystroglycan Antibody IIH6C4: Your Guide

N.Vehikl 47 views
Anti-Dystroglycan Antibody IIH6C4: Your Guide

Anti-Dystroglycan Antibody Clone IIH6C4: A Comprehensive Guide

Hey guys! Let’s dive deep into the world of the anti-dystroglycan antibody clone IIH6C4 . This antibody is a pretty big deal in scientific research, particularly when we’re talking about muscular dystrophy and other related conditions. If you’re new to this, don’t worry! We’ll break it down in simple terms and cover everything you need to know about this fascinating tool.

What is Dystroglycan?

First things first, what exactly is dystroglycan? Dystroglycan is a protein that plays a crucial role in connecting the cytoskeleton inside muscle cells to the extracellular matrix (ECM) outside the cells. Think of it as a bridge that helps stabilize muscle fibers. This connection is super important for maintaining the structural integrity of muscles and ensuring they function properly. Dystroglycan is cleaved into two subunits: alpha-dystroglycan and beta-dystroglycan. Alpha-dystroglycan resides outside the cell membrane and binds to components of the ECM, such as laminin, agrin, and perlecan. Beta-dystroglycan, on the other hand, is a transmembrane protein that connects to alpha-dystroglycan and intracellular proteins like dystrophin. This entire complex is vital for muscle cell stability and signaling. Problems with dystroglycan, like reduced or abnormal glycosylation, can lead to various forms of muscular dystrophy, collectively known as dystroglycanopathies. These conditions often involve muscle weakness and can affect other organs as well, highlighting the widespread importance of this protein. Understanding dystroglycan is the first step in appreciating why an antibody like IIH6C4 is so valuable in research and diagnostics. By targeting dystroglycan, scientists can study its function, identify abnormalities, and develop potential therapies for related diseases. So, in a nutshell, dystroglycan is the unsung hero that keeps our muscles strong and connected!

Enter the Anti-Dystroglycan Antibody Clone IIH6C4

Now, let’s talk about our star player: the anti-dystroglycan antibody clone IIH6C4 . This is a monoclonal antibody, meaning it’s produced by a single clone of immune cells and specifically targets a particular part of the dystroglycan protein. Specifically, IIH6C4 recognizes a glycosylated epitope on alpha-dystroglycan. Glycosylation is the addition of sugar molecules, and it’s essential for dystroglycan’s function. This antibody is widely used because it’s highly sensitive to these glycosylation patterns. Why is this important? Because changes in glycosylation are often linked to disease. The IIH6C4 antibody acts like a detective, helping researchers identify these subtle but crucial changes in dystroglycan. It’s a powerful tool for diagnosing and studying various muscular dystrophies. Moreover, IIH6C4 is not just a diagnostic tool; it’s also used in research to understand how dystroglycan functions and how its dysfunction leads to disease. Scientists use it in experiments like Western blotting, immunohistochemistry, and flow cytometry to visualize and quantify dystroglycan in different tissues and cell types. This helps them understand the underlying mechanisms of muscular dystrophy and develop potential therapies. In essence, the IIH6C4 antibody is a critical tool for unlocking the mysteries of dystroglycan and its role in maintaining healthy muscles. Its specificity and sensitivity make it an invaluable asset in both research and clinical settings. So, next time you hear about IIH6C4, remember it as the key that helps us understand and combat muscular dystrophy.

Why is IIH6C4 So Important?

So, why is the IIH6C4 antibody such a big deal? Well, it all boils down to its specificity and sensitivity. This antibody is particularly good at recognizing glycosylated α-dystroglycan, which, as we mentioned, is crucial for dystroglycan’s function. Think of glycosylation as the key that unlocks dystroglycan’s ability to bind to other proteins. When glycosylation is messed up, dystroglycan can’t do its job properly, leading to muscle problems. The IIH6C4 antibody is like a highly trained detective that can spot even slight changes in glycosylation patterns. This makes it an invaluable tool for diagnosing and studying various forms of muscular dystrophy, particularly those caused by defects in dystroglycan glycosylation. Moreover, IIH6C4 is widely used in research to understand how dystroglycan functions and how its dysfunction leads to disease. Scientists use it in experiments like Western blotting, immunohistochemistry, and flow cytometry to visualize and quantify dystroglycan in different tissues and cell types. This helps them understand the underlying mechanisms of muscular dystrophy and develop potential therapies. In essence, the IIH6C4 antibody is a critical tool for unlocking the mysteries of dystroglycan and its role in maintaining healthy muscles. Its specificity and sensitivity make it an invaluable asset in both research and clinical settings. The ability to detect these subtle changes is crucial for accurate diagnosis and for understanding the underlying mechanisms of the disease. Researchers and clinicians rely on IIH6C4 to differentiate between different types of muscular dystrophies and to assess the severity of the condition. So, you see, IIH6C4 isn’t just another antibody; it’s a vital tool that helps us understand and combat muscular dystrophy.

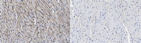
Applications of the IIH6C4 Antibody

The IIH6C4 antibody has a wide range of applications in both research and clinical settings. Let’s take a closer look at some of the key uses:

  • Western Blotting: This is a technique used to detect specific proteins in a sample. IIH6C4 is often used in Western blotting to assess the levels and glycosylation status of dystroglycan in muscle biopsies. This can help diagnose muscular dystrophies and monitor the effectiveness of treatments.
  • Immunohistochemistry (IHC): IHC involves using antibodies to visualize proteins in tissue samples. IIH6C4 is used in IHC to examine the distribution and expression of dystroglycan in muscle tissue. This can reveal abnormalities in dystroglycan localization, which can be indicative of certain muscle diseases.
  • Flow Cytometry: This technique is used to analyze cells based on their characteristics. IIH6C4 can be used in flow cytometry to assess the levels of dystroglycan on the surface of cells. This can be helpful in studying the effects of genetic mutations on dystroglycan expression.
  • Diagnosis of Muscular Dystrophies: As we’ve discussed, IIH6C4 is a valuable tool for diagnosing muscular dystrophies, particularly those caused by defects in dystroglycan glycosylation. By detecting changes in glycosylation patterns, IIH6C4 can help clinicians differentiate between different types of muscular dystrophies and provide accurate diagnoses.
  • Research: Beyond diagnostics, IIH6C4 is also widely used in research to study the function of dystroglycan and the mechanisms underlying muscular dystrophy. Scientists use IIH6C4 in various experiments to investigate how dystroglycan interacts with other proteins, how its glycosylation is regulated, and how its dysfunction leads to muscle disease. These studies can provide valuable insights into the pathogenesis of muscular dystrophy and identify potential therapeutic targets.

In addition to these applications, IIH6C4 is also being explored for its potential use in developing new therapies for muscular dystrophy. For example, researchers are investigating whether IIH6C4 can be used to deliver drugs or gene therapies specifically to muscle cells, which could improve the effectiveness of these treatments. So, as you can see, the IIH6C4 antibody is a versatile tool with a wide range of applications that are constantly expanding as our understanding of dystroglycan and muscular dystrophy evolves.

Troubleshooting and Tips for Using IIH6C4

Working with antibodies like IIH6C4 can sometimes be tricky. Here are a few tips and troubleshooting suggestions to help you get the best results:

  • Optimize Antibody Concentration: The optimal concentration of IIH6C4 can vary depending on the application. It’s essential to titrate the antibody to find the concentration that gives you the best signal-to-noise ratio. Start with the manufacturer’s recommended concentration and adjust as needed.
  • Use Appropriate Controls: Always include appropriate controls in your experiments to ensure the specificity of your results. For example, use a negative control sample that does not express dystroglycan or a blocking peptide that can compete with IIH6C4 for binding to dystroglycan.
  • Optimize Incubation Times: The incubation time for IIH6C4 can also affect your results. Experiment with different incubation times to find the optimal duration for your specific application. Longer incubation times may increase the signal, but they can also increase background noise.
  • Use a High-Quality Secondary Antibody: The secondary antibody is used to detect the primary antibody (IIH6C4). Choose a high-quality secondary antibody that is specific for the species of your primary antibody and that is conjugated to a reporter molecule that you can easily detect.
  • Proper Sample Preparation: The way you prepare your samples can also affect the results. Make sure to use a consistent and reproducible protocol for sample preparation. Avoid over-processing your samples, as this can damage the proteins and reduce the signal.
  • Storage Conditions: Proper storage of IIH6C4 is crucial for maintaining its activity. Store the antibody according to the manufacturer’s instructions. Avoid repeated freeze-thaw cycles, as this can degrade the antibody.
  • Background Noise: If you’re experiencing high background noise, try blocking the sample with a protein-rich solution, such as BSA or non-fat dry milk. You can also try using a lower concentration of the antibody or shortening the incubation time.
  • No Signal: If you’re not getting any signal, make sure that your antibody is still active. You can check this by running a positive control sample that you know expresses dystroglycan. Also, make sure that your secondary antibody is working properly.

By following these tips and troubleshooting suggestions, you can improve the reliability and accuracy of your experiments with IIH6C4. Remember to always consult the manufacturer’s instructions for specific guidance on using the antibody.

Conclusion

So, there you have it! The anti-dystroglycan antibody clone IIH6C4 is a powerful and versatile tool that plays a crucial role in research and diagnostics related to muscular dystrophy. Its ability to specifically recognize glycosylated α-dystroglycan makes it invaluable for detecting changes in glycosylation patterns, which are often linked to disease. Whether you’re a researcher studying the function of dystroglycan or a clinician diagnosing muscular dystrophies, IIH6C4 is an essential tool that can help you achieve your goals. By understanding the principles behind IIH6C4 and following best practices for its use, you can unlock its full potential and contribute to advancing our understanding and treatment of muscular dystrophy. Keep experimenting, keep learning, and keep pushing the boundaries of what’s possible! You’re doing great work, and the future of muscular dystrophy research is in good hands.